Your full name*
Your phone number*
+65
Your WhatsApp number
+65
Your email address*
By clicking start my free smile assessment I accept and agree to the Terms & Conditions and Privacy Policy


Unlock your reward and start your Smile journey in 4 steps
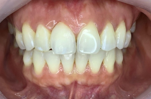
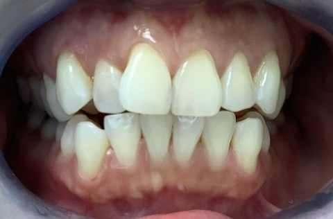
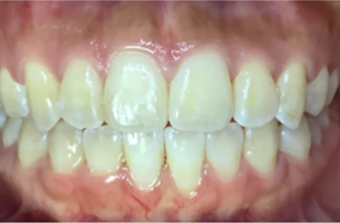
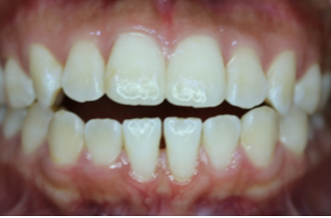
Real customer cases
Affordable, discreet and powerful results. Check out the before and after photos of our happy customers!
FAQ
How will I receive my discount?
You will get off the total cost of your Zenyum Invisible Braces treatment at checkout.
undefined
Can I stack this offer with other offers?
No, this offer is not stackable with other Zenyum offers. This is the highest* discount you can get 😉 Promotional terms and conditions apply.
*Total discount capped at .
undefined
How does Zenyum work?
Get pre-assessed online for Zenyum eligibility, go for a dentist consultation, approve your treatment plan, then start wearing your custom-made clear aligners to transform your smile! Those are the basics – for more details, you can
read this article.
What if I’m not eligible for Zenyum?
While Zenyum can treat a wide range of mild to complex cases with ZenyumClear™ and ZenyumClear™ Plus, sometimes we just can’t change the world. We can still help you Smile More though – have you tried our
award-winning sonic toothbrush?









